Lawson's Top 12 Research Stories from 2020

Image

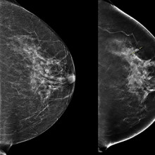
3D imaging technology could improve outcomes for patients with breast cancer

During a conventional digital 2D mammogram, two x-ray images are taken of the breast, one from top-to-bottom and another from side-to-side at an angle. This technology is limited by the overlapping breast tissue that occurs from the required compression of the breast, and breast abnormalities may be hidden. A study at Lawson is looking to determine if digital breast tomosynthesis, a type of 3D imaging, is better at detecting breast tissue abnormalities than the 2D mammography regularly used today. Read more

Image

Antioxidants in the brain linked to improved treatment results in patients with psychosis

Once patients with psychosis start treatment, some get better in weeks while it can take months for others. A research team from Lawson and Western University studied antioxidant levels in the brain, and found that these chemicals, which rid the body of normal metabolic biproducts called free radicals, may improve outcomes of early intervention in psychosis. Read more. 

Image

Researchers awarded $4.8 million to validate locally developed test, EpiSign, for first-line diagnostic testing of rare hereditary disorders 

A clinical trial named “EpiSign-CAN,” led by researchers at Lawson was awarded $4.8 million to measure the clinical impact of a new molecular genomics test for diagnosing genetic neurodevelopmental conditions. The diagnostic test, called EpiSign, uses machine learning to analyze the EpiSign Knowledge Database. This database compiles information on rare genetic diseases using laboratory analyses of the entire genome, referred to as the epigenome, from patients with suspected genetic abnormalities. Read more.

Image

Perceptions of confidentiality for Canadian Veterans discussing moral injuries

Lawson researchers are exploring Canadian Veterans’ beliefs about confidentiality in mental health care and whether those beliefs act as a barrier to seeking treatment for a type of trauma known as moral injury. Moral injury describes psychological distress following events where a person performs, witnesses or fails to prevent acts that conflict with deeply held moral standards. Evidence suggests that moral injuries are on the rise among deployed members of the Canadian Armed Forces, and that those exposed to such events are at a higher risk of developing post-traumatic stress disorder and depression. Read more.

Image

New device could reduce COVID-19 infection risk and demand for invasive ventilators

Researchers designed a non-invasive ventilation mask that could significantly reduce aerosolization – the production of airborne respiratory droplets that may contain viruses or bacteria – when treating patients with COVID-19. The new device aims to reduce infection risks associated with non-invasive ventilation and lessen the demand for invasive ventilators. It is currently being tested through a clinical trial with patients at London Health Sciences Centre (LHSC). Read more.

Image

Researchers first in world to profile the body’s immune response to COVID-19

By studying blood samples from critically ill patients at LHSC, researchers identified a unique pattern of six molecules that could be used as therapeutic targets to treat COVID-19. Studies show that part of what makes the virus so deadly is that the body mounts an overreactive immune response as the virus grows and replicates. This response releases inflammatory molecules in order to fight the virus, but also destroys healthy cells and organs in the process. Read more.

Image

Study suggests that surgery may be superior treatment for chronic sciatica

In a randomized controlled trial, surgery was found to be superior to non-operative therapy in the treatment of chronic sciatica. Chronic sciatica can be caused by a disc herniation which compresses a nerve in the lumbar spine causing pain from the lower back to the leg. The primary treatment options for sciatica are surgery or non-operative care. Researchers conducted this study to test if a surgical treatment called microdiscectomy results in better patient outcomes for those with chronic sciatica compared to non-operative care. Read more.

Image

Researchers unravel two mysteries of COVID-19

A team from Lawson and Western University made significant steps forward in understanding COVID-19 through two back-to-back studies. In one study, the team identified six molecules that can be used as biomarkers to predict how severely ill a patient will become. In the other study, they were the first to reveal a mechanism causing blood clots in COVID-19 patients and potential ways to treat them. The studies were conducted by analyzing blood samples from critically ill patients at LHSC. Read more.

Image

Gut microbiome may influence how cancer patients respond to oral therapies, study suggests

A study from Lawson and Western illustrated how the gut microbiome interacts with an oral medication in prostate cancer patients, suggesting bacteria in the gut play a role in treatment outcomes. The findings highlight how the drug abiraterone acetate is metabolized by bacteria in the gut to reduce harmful organisms while promoting those that fight cancer. The research team suspects this is one of many examples of how the microbiome influences our response to medications. Read more.

Image

First Contrast Enhanced Spectral Mammography guided biopsy in North America

Researchers at Lawson performed the first breast biopsy guided by Contrast Enhanced Spectral Mammography (CESM) in North America on June 12, 2020. CESM is a novel diagnostic imaging tool that is able to detect cancerous lesions at a greater rate than standard mammography, and at close rate to MRI. The procedure is faster and more accurate, comfortable and cost effective than an MRI biopsy. Read more.

Image

Assessing the pandemic's impact on Canadian Veterans and their spouses

A project from Lawson and the Centre of Excellence on Post-Traumatic Stress Disorder (PTSD) hopes to discover the impact the COVID-19 pandemic is having on the mental health of Canadian Veterans and their spouses. They are partnering with up to 1,000 Canadian Veterans and 250 spouses of Canadian Veterans. Through online surveys, the project will hear directly from Veterans and their spouses to assess the pandemic’s effects on their well-being over time. Read more.

Image

Fecal transplants show promise as treatment for non-alcoholic fatty liver disease

A randomized controlled trial found that fecal transplants in patients with non-alcoholic fatty liver disease (NAFLD) results in a reduction in how easily pathogens and other unwanted molecules pass through the human gut and into circulation, known as intestinal permeability. The results could have implications for the treatment of numerous conditions including metabolic syndrome and autoimmune diseases. Read more.