Future vision

Image
Image
A new PET/CT machine, made possible by donations to the Spirit of St. Joseph’s Fund, promises faster, clearer images to diagnose and treat disease

Dr. Narinder Paul calls it a game changer. A powerful new PET/CT scanner with the potential to personalize disease diagnosis and treatment for patients.

“We’re the first in the country to have this PET/CT machine,” says Dr. Paul, Chair/Chief of Medical Imaging. “It offers the most sophisticated and dynamic imaging technology available today.”

The machine combines two imaging platforms in one. The computerized tomography (CT) scan provides an anatomical view of the body. The positron emission tomography (PET) scan shows the body’s organs and tissues at work, giving clinicians a clearer picture of their metabolic or biochemical function.

In order to pinpoint disease, such as cancer, heart disease or neurological disorders, patients are given a small amount of radioactive material combined with a carrier molecule. Called a radiotracer, it travels through the body and builds up in certain areas, revealing the location and activity of disease. This approach can also be used to assess how patients are responding to treatment.

The new machine at St. Joseph’s Health Care London doubles the specificity of the previous PET/CT model, capturing higher definition images in a faster amount of time.

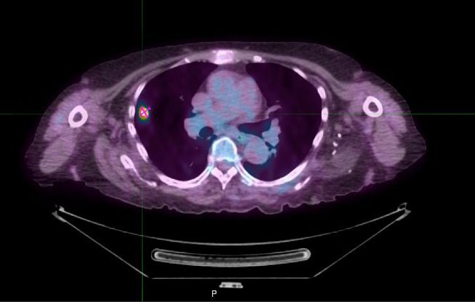
PET/CT image
A PET/CT scan provides detailed images of areas inside the body helping to detect disease.

For Dr. Paul, the most exciting opportunity is an emerging field of molecular medicine called theranostics, a combination of diagnostic imaging and therapeutic treatment. This takes the imaging process one step further, adding a therapeutic molecule to the radiotracer, which then targets and treats disease at a cellular level.

“Theranostics is the future of personalized medicine and researchers in London are leading the way in developing these new molecular therapies,” says Dr. Paul. 

The new PET/CT machine was instrumental in the recruitment of three research chairs, including the newly established Dr. Frank Prato Chair in Molecular Imaging.

It’s also a smart investment in the future, as in-field upgrades can expand its capabilities without needing to purchase an entirely new machine. The goal is to upgrade it to be the first full-body scanner in Canada.

“This equipment is an enabler of the next generation of care,” says David Hill, PhD, Scientific Director, Lawson Health Research Institute. “It allows scientists to ask and answer the big questions and to train the brightest minds.”

St. Joseph’s Health Care Foundation granted $1 million of donor support to acquire the PET/CT scanner through the Spirit of St. Joseph’s Fund, which was established to respond to highest priority care, research and education needs.

“The donor community has been absolutely fantastic in allowing us to build world-class imaging infrastructure for research and patient care,” says Dr. Paul. “Their support is so important to our physicians and scientists; it allows us to keep doing this meaningful work.”

Back to all Stories